Hamburger Anzeiger - Médicos australianos hallan por primera vez una lombriz parásita en el cerebro de una mujer

Médicos australianos hallan por primera vez una lombriz parásita en el cerebro de una mujer
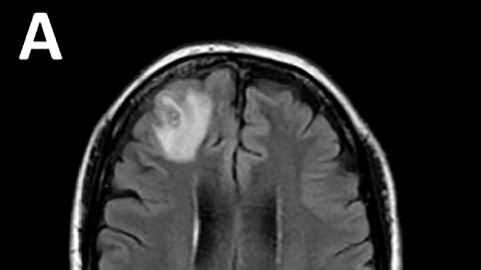
Médicos australianos hallan por primera vez una lombriz parásita en el cerebro de una mujer / Foto: Handout - Universidad Nacional Australiana/AFP

Médicos australianos hallan por primera vez una lombriz parásita en el cerebro de una mujer

Una lombriz parásita usualmente encontrada en serpientes fue retirada "viva y coleando" del cerebro de una mujer, algo que no se había visto en los registros médicos, informaron el martes médicos australianos.

Tamaño del texto:

Desconcertados, los médicos realizaron una resonancia magnética a una mujer australiana de 64 años después de que comenzara a sufrir lapsos de memoria y notaron una "lesión atípica" en el frente de su cerebro.

Era una lombriz de ocho centímetros llamada Ophidascaris robertsi, que según investigadores son parásitos comunes en canguros y pitones diamantina pero no en humanos.

"Este es el primer caso humano de una Ophidascaris en el mundo", afirmó el experto en enfermedades infecciosas Sanjaya Senanayake.

"Hasta donde sabemos, es también la primera vez que aparece en el cerebro de una especie de mamífero, humano o no", agregó.

Los investigadores creen que la mujer se infectó después de buscar arbustos comestibles cerca de su casa que podrían haber estado contaminados con larvas parasitarias diseminadas en las heces de las serpientes.

"Nunca es fácil o deseable ser el primer paciente del mundo para nada", indicó Senanayake.

"No puedo enfatizar más nuestra admiración por esta mujer que ha mostrado paciencia y coraje en el proceso", agregó.

El caso fue publicado en el diario Emerging Infectious Diseases y Senanayake anticipó que podrían detectarse más casos en otros países.

W.Widmer--HHA